Η Κεντρική Ορώδης Χοριοαμφιβληστροειδοπάθεια (ΚΟΧΑ) είναι μια κατάσταση που επηρεάζει την ωχρά κηλίδα (το κεντρικό σημείο του αμφιβληστροειδή) με την οποία βλέπουμε. Η ακριβής αιτία που προκαλεί την νόσο δεν είναι πλήρως διευκρινισμένη. Η Κεντρική Ορώδης Χοριοαμφιβληστροειδοπάθεια προκαλείται όταν ρήξεις των συνδέσμων μεταξύ των κυττάρων του μελάγχρου επιθηλίου επιτρέψει υγρό από τα υποκείμενα αιμοφόρα αγγεία να προκαλέσει μια μικρή αποκόλληση κάτω από την ωχρά κηλίδα.

Η ΚΟΧΑ προσβάλλει τους άνδρες συχνότερα από τις γυναίκες και συνήθως τις ηλικίες από 25 έως 50 ετών. Το έντονο stress είναι από τις κύριες αιτίες πρόκλησης του προβλήματος. Συνήθως η ΚΟΧΑ αυτοϊάται. Η υπέγερση της ωχράς υποχωρεί καθώς το συγκεντρωμένο ορώδες υγρό υποχωρεί , και η όραση μπορεί να επανέλθει ακόμα και στα φυσιολογικά επίπεδα. Αυτή η διαδικασία μπορεί να κρατήσει από 1 έως 6 μήνες. Είναι αρκετά συχνές οι περιπτώσεις που παραμένει μειωμένη οπτική οξύτητα, διαταραχή αντίληψης των χρωμάτων , ακόμα και κεντρικά σκοτώματα.
Υπάρχει ένα αρκετά μεγάλο ποσοστό , 40-50% , που η πάθηση υποτροπιάζει. Σε λίγες περιπτώσεις η πάθηση μπορεί να οδηγήσει σε μόνιμη απώλεια μέρους της κεντρικής όρασης.
Ποια είναι τα συμπτώματα της Κεντρικής Ορώδους Χοριοαμφιβληστροειδοπάθειας;
Ο ασθενής συνήθως παραπονείται για θολή κεντρική όραση ή κεντρικό τυφλό σημείο στο οπτικό του πεδίο καθώς και για παραμορφωμένη όραση ( πχ βλέπει τα αντικείμενα κυματιστά).
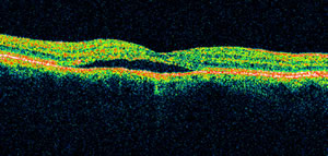
Ποιες ειδικές οφθαλμολογικές εξετάσεις πρέπει να γίνουν για την διάγνωση της νόσου;
Βυθοσκόπηση , OCT ωχράς , HRT 3 (Laser Scanning Tomography) ωχράς, Φλουοροαγγειογραφία κλπ. Οι παραπάνω εξετάσεις γίνονται με τα πιο σύγχρονα μηχανήματα στο οφθαλμολογικό κέντρο Bio Laser.
Θεραπεία
Τις περισσότερες φορές δεν χρειάζεται καμία θεραπεία και η νόσος αυτοπεριορίζεται. Σε ορισμένες περιπτώσεις μπορεί να χορηγηθούν στεροειδείς ή μη στεροειδείς αντιφλεγμονώδεις οφθαλμικές σταγόνες.
Εάν με την φλουοροαγγειογραφία διαπιστωθούν σημεία διαρροής υγρού μακριά από την κεντρική περιοχή της ωχράς, τότε μπορούμε να τα «σφραγίσουμε» κάνοντας φωτοπηξία με Laser. Ακόμα σε ορισμένες περιπτώσεις εφαρμόζουμε φωτοδυναμική θεραπεία.
Για πληροφορίες και ραντεβού με τον Οφθαλμίατρο, επικοινωνήστε μαζί μας στα τηλέφωνα του Οφθαλμολογικού Κέντρου Bio Laser, του Βασίλη Παπαδόπουλου, Χειρουργού Οφθαλμιάτρου, 6946738344, 210 2011933.
Το Οφθαλμολογικό Κέντρο στεγάζεται στην νέα μας διεύθυνση , στην οδό Καυτατζόγλου 8, 4ος όροφος στα Πατήσια.
Βρίσκεται κοντά στον ΗΣΑΠ Αγιος Ελευθέριος και κοντά στην στάση Κλωναρίδου με τρόλεϊ ή λεωφορείο, στο πάρκο Φιξ στην Πατησίων.
Το Οφθαλμολογικό ιατρείο δέχεται καθημερινά και Σάββατο, μετά από ραντεβού, στα τηλέφωνα: 6946738344, 210 2011933 και 211 0192839
e-mail: vaspap2010@gmail.com
Η ομάδα μας στο facebook: https://www.facebook.com/groups/918447161515375/
|